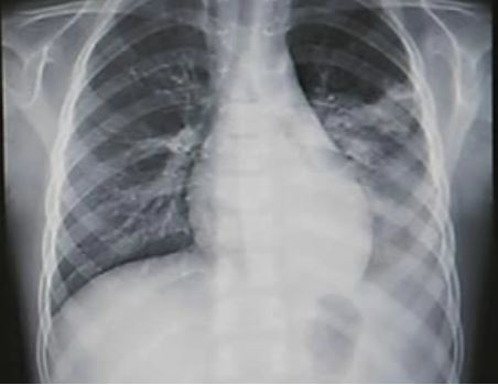
아이를 키우면서 겨울만 되면 긴장하게 됩니다. 환절기마다 열이 나고 기침하는 아이를 보면 마음이 아프죠. 저도 24년도에 아이를 낳고 10개월 차에 모세기관지염으로 고생했고, 돌잔치 직후 폐렴으로 두 번이나 입원했습니다. 그때 병원에서 정말 많은 아기들이 호흡기 질환으로 입원해 있는 걸 보면서, RSV 예방접종의 중요성을 뼈저리게 느꼈습니다. RSV는 호흡기세포융합바이러스(Respiratory Syncytial Virus)의 약자로, 영유아에게 심각한 하기도 감염을 일으키는 바이러스입니다. 여기서 하기도 감염이란 기관지와 폐 등 호흡기 아래쪽에 염증이 생기는 것을 의미하는데, 단순 감기보다 훨씬 심각합니다. 다행히 2024년부터 우리나라에도 RSV 예방 항체주사가 도입되어, 아기들을 미리 보호할 수 있게 되었습니다.

RSV 예방접종이 꼭 필요한 이유
RSV는 독감보다 이환율이 16배나 높을 정도로 흔한 질환입니다. 여기서 이환율이란 특정 기간 동안 일정 인구 집단에서 질병에 걸리는 비율을 뜻하는데, 쉽게 말해 그만큼 많은 아기들이 RSV에 감염된다는 의미입니다. 저도 제 아이가 모세기관지염으로 고생할 때까지는 RSV의 심각성을 몰랐습니다.
RSV의 가장 큰 문제는 생후 6개월 미만 영아에게 특히 위험하다는 점입니다. 나이가 어릴수록 증상이 심하게 나타나며, 심한 경우 입원 치료가 필요합니다. 실제로 제 아이는 돌 이후 폐렴으로 입원했을 때, 같은 병실과 옆 병동에 RSV로 입원한 신생아와 영아들이 정말 많았습니다. 특히 미숙아나 선천성 심장질환이 있는 고위험군 아기들은 RSV 감염 시 호흡곤란으로 중환자실 치료를 받아야 하는 경우도 있습니다(출처: 질병관리청).
더 중요한 것은 RSV는 한 번 걸렸다고 면역이 생기지 않는다는 점입니다. A형과 B형 두 가지 타입이 있고, 각 타입 안에도 여러 아형이 존재하기 때문에 같은 시즌에도 반복 감염될 수 있습니다. 자연 감염으로 생긴 항체는 오래 지속되지 않아 효과가 제한적입니다. 반면 예방 항체주사는 이미 만들어진 단일클론항체(Monoclonal Antibody)를 직접 주입하는 방식입니다. 여기서 단일클론항체란 실험실에서 특정 항원만을 공격하도록 만든 인공 항체를 말하는데, RSV 바이러스를 선택적으로 차단하여 감염을 예방합니다. 이 방식은 우리 몸이 직접 항체를 만드는 백신과 달리, 즉각적인 보호 효과를 제공하며 부작용도 매우 적습니다.
제가 접종과 관련해서 확실히 믿는 것은, 예방할 수 있는 질병은 미리 막는 게 최선이라는 점입니다. 간혹 효과가 없다거나 오히려 부작용만 생긴다는 의견도 있지만, 실제로 예방접종 덕분에 영유아 사망률이 크게 감소했다는 통계는 명확합니다(출처: 세계보건기구). 특히 호흡기 질환은 한 번 심하게 앓으면 아이도 부모도 정말 힘들기 때문에, 예방 가능한 RSV는 반드시 접종하는 것을 권장합니다.

RSV 예방접종 시기와 대상
RSV 예방접종의 가장 중요한 포인트는 접종 시기입니다. 우리나라의 RSV 유행 시즌은 매년 10월부터 다음 해 3월까지로, 이 기간에 생후 8개월 미만의 아기가 첫 RSV 시즌을 맞게 되면 접종 대상이 됩니다. 구체적인 접종 대상과 시기를 정리하면 다음과 같습니다.
- 생후 6개월 미만 영아: 출생 직후부터 접종 가능하며, RSV 시즌이 시작되기 전이나 시즌 초반에 접종하는 것이 가장 효과적입니다
- 생후 6~8개월 영아: 첫 RSV 시즌을 앞두고 있다면 접종 권장 대상입니다
- 고위험군 영아: 미숙아, 선천성 심장질환, 만성 폐질환이 있는 경우 생후 19개월까지도 두 번째 시즌에 추가 접종이 필요할 수 있습니다
제 경험상 접종 스케줄 관리가 생각보다 복잡했습니다. 독감 백신은 생후 6개월부터 접종 가능한데, RSV 예방주사는 신생아 때부터 맞을 수 있거든요. 만약 아기가 6개월 미만이라면 RSV를 먼저 접종하고, 6개월이 되면 독감 백신을 추가로 맞으면 됩니다. 6개월 이상이라면 두 접종을 같은 날 동시에 맞는 것도 가능합니다. 동시접종은 의학적으로 안전하며, 병원 방문 횟수를 줄일 수 있어 실용적입니다.
한 가지 자주 묻는 질문이 "RSV에 이미 걸렸는데도 맞아야 하나요?"입니다. 답은 "예"입니다. 앞서 설명했듯 자연 감염으로는 충분한 항체가 생성되지 않고, 같은 시즌에도 다른 타입의 RSV에 재감염될 수 있기 때문입니다. 또한 건강한 만삭아는 한 번만 접종하면 되지만, 미숙아나 심장질환이 있는 아기는 소아청소년과 전문의와 상담하여 추가 접종 여부를 결정해야 합니다.
제가 독감 백신 접종을 위해 병원에 갔을 때, 산부인과 내 소아과였기 때문에 그곳에서 출산한 부모에게는 독감 백신을 할인해 주더군요. 아기는 무료였고요. RSV는 국가필수예방접종(NIP)에 포함되지 않아 비용 부담이 있지만, 의학적으로는 꼭 필요한 접종입니다. 병원마다 가격이 다르지만 대략 20~30만 원대로 알려져 있어, 미리 여러 병원을 비교해 보는 것도 방법입니다. 비용이 부담된다는 의견도 있지만, 저는 폐렴으로 입원했을 때의 비용과 고통을 생각하면 예방이 훨씬 낫다고 봅니다.
폐렴 입원 비용에 대해서도 말씀드리고 싶습니다. 제 아이가 입원했던 병원은 1인실 기준 하루 21만 원에 식비 6천 원, 그 외 붕대와 바늘 등 기타 비용이 추가되었습니다. 보통 폐렴은 일주일 정도 입원해야 완치되는데, 이렇게 계산하면 실비 보험 없이는 상당한 금액이 나옵니다. 다행히 저는 아이 보험에 1인실 담보와 폐렴 진단비가 포함되어 있어 큰 도움을 받았습니다. 실비에서는 하루 최대 10만 원 정도가 나왔는데, 23년도에 가입한 4세대 실비였기에 가능했습니다. 아프기 전에 아이 보험 내역을 미리 확인하고, 어떤 담보가 있는지, 청구 가능한 항목이 무엇인지 알아두는 것도 정말 중요합니다.
RSV 예방접종은 아직 생소하지만, 호흡기 질환으로 아이가 고생하는 모습을 본 부모라면 그 필요성을 절실히 느낄 것입니다. 저는 두 번의 입원을 경험하면서, 예방할 수 있는 질병은 반드시 예방해야 한다는 생각이 더 확고해졌습니다. 백일해, 독감, RSV 등 호흡기 관련 예방접종은 무조건 맞는 것이 맞다고 봅니다. 예방접종 덕분에 인간의 수명이 늘고 영유아 사망률이 감소했다는 점은 부정할 수 없는 사실입니다. 아이의 건강을 위해, 그리고 부모의 마음 편안함을 위해 RSV 예방접종을 적극 고려해 보시길 바랍니다.